
Dear readers, supporters, and neighbors,
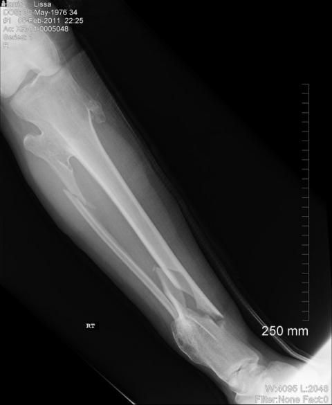
Thanks for your patience this week. I'm back on the job as of today, posting news from around the Catskills, and Lissa will be back online helping me on Monday. (Yup, that's her leg, post-break, in the x-ray above.) We return to Watershed Post HQ in Andes today, after a week of hospitals, shuttling around to doctors appointments, and lots of exotic pain medications.
Lissa is currently sporting an amazing contraption called an "external fixator." (Click here to see an example, but only if you have a strong stomach.) It's a cyborg-like device on her right ankle, and will have another surgery in two weeks to implant an internal solution into her leg. But her doctor says no damage has been done, so we're on our way back to normal.
Thank you to everyone for your loving comments, emails, Facebook messages, prayers, pinch-hitting childcare, wonderful home-cooked meals, and in the case of a particular Roxbury restaurant, for the message on your restaurant's menu. We are amazed and humbled by your support.
Thanks,
Julia and Lissa
The Watershed Post team






